【口腔百科】当正畸遇上智齿,什么情况下必须拔掉它?
2026-03-18 08:39
已接受 次咨询

说到“智齿”,大家应该都不陌生,它又被称为第三磨牙,是口腔内牙槽骨上最里面的四颗牙齿,分别位于上下颌的两侧,有时候还被称为正畸的“拦路虎”。

有人一脸疑惑:“我正畸是排齐前面的牙齿,跟藏在最里面的智齿有啥关系?”也有人满心抗拒:“智齿不疼不痒,非要拔吗?”
其实,智齿和正畸的关系,远比大家想象中密切——它就像口腔里的“隐形干扰者”,有时会悄悄破坏正畸效果,甚至让前期努力白费。
这4种情况,正畸前必须拔智齿
01智齿挤压邻牙,导致牙齿拥挤/移位
这是最常见的拔除原因。正畸的核心需求之一一般是“排齐拥挤牙齿”,而智齿作为口腔中最后萌出的牙齿(通常在20岁左右萌出),由于生长位置特殊、空间有限,很可能会持续挤压旁边的第二磨牙,导致第二磨牙倾斜、移位,进而引发整个牙列拥挤。
如果不拔除这颗“肇事智齿”,即使通过正畸排齐了牙齿,后期也会因为智齿的持续挤压,导致牙齿再次拥挤、反弹。

小贴士
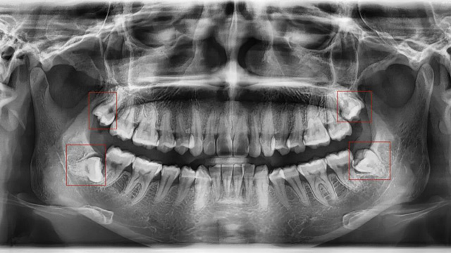
如果通过X光片发现,你的智齿已经顶到邻牙牙根,或者导致邻牙出现龋坏、牙周炎,无论是否正畸,都建议尽早拔除。
02智齿阻挡正畸牙齿移动
正畸治疗中,医生会根据诊疗方案,让牙齿沿着预设轨迹移动(比如前牙内收、后牙调整咬合等)。比如需要内收前牙改善凸嘴时,智齿的存在会“顶住”后牙,导致牙齿无法顺利移动到理想位置。这种情况,可能需要拔除智齿来为排齐牙齿提供必要的空间。

03智齿位置不正,未来存在潜在风险
有些智齿虽然目前没有疼痛、没有挤压邻牙,但拍X光片后发现,它属于“埋伏阻生”(完全埋在牙龈下),或者生长方向异常,未来很可能会萌出、挤压邻牙,甚至引发囊肿、肿瘤等问题。对于这类堪比“定时炸弹”的智齿,医生通常会建议拔除,避免后续出现更严重的口腔问题。
04智齿反复发炎,影响正畸进程
智齿萌出时,牙龈会形成一个“盲袋”,容易堆积食物残渣和细菌,进而引发“智齿冠周炎”——牙龈红肿、疼痛、流脓,严重时还会导致脸颊肿胀、发烧,影响正常饮食和生活。
而正畸治疗期间需要定期复诊、调整矫治器。如果智齿反复发炎,不仅会让你承受疼痛,还会耽误正畸进度。
这2种情况,智齿可以保留
很多人以为“正畸就必须拔智齿”,其实不然,医生会根据智齿的生长位置、方向、是否影响正畸,以及你的口腔整体情况,综合判断是否需要拔除。以下两种情况,智齿完全可以保留:
1智齿生长位置端正、空间充足,能够正常萌出,且与邻牙形成良好的咬合关系,不会挤压邻牙、不会反复发炎,也不会影响正畸牙齿移动;
2智齿完全埋伏在颌骨内,与邻牙牙根距离较远,没有任何萌出迹象,经医生评估,未来不会对口腔健康和正畸效果造成任何影响。

新桥口腔正畸全周期陪护,全程守护更安心
正畸是一场“持久战”,而智齿就是潜伏在暗处的变量因子,从正畸前评估到正畸后摘保持器,每个环节都很重要。作为深耕口腔正畸多年的老牌机构,新桥口腔推出系统化的“正畸全周期陪护服务”,从正畸方案定制到术后长期维养,全程守护,帮你规避风险、减轻顾虑,让正畸的每一步都更有保障。

参考资料:
[1] 中华口腔医学会正畸专业委员会。中国口腔正畸临床指南,2021
[2] 阻生第三磨牙拔除术临床操作规范[J]. 华西口腔医学杂志, 2017
[3] 《口腔颌面外科学》(第7版,张志愿、俞光岩主编,人民卫生出版社)
[4] 《口腔正畸学》(人民卫生出版社)
*本文仅为科普分享,不能替代专业医疗建议。个体情况存在差异,如有健康问题请及时咨询医疗机构。